Лечение кариеса
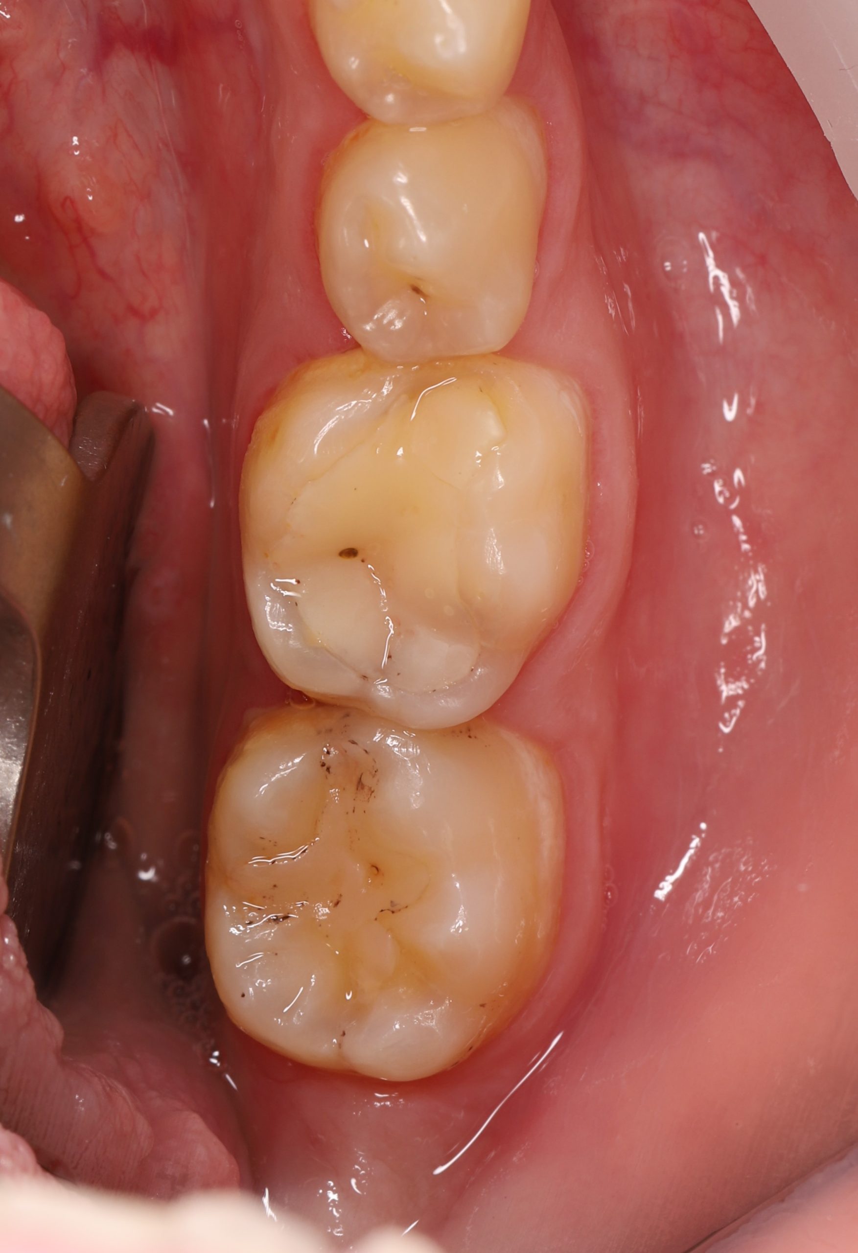
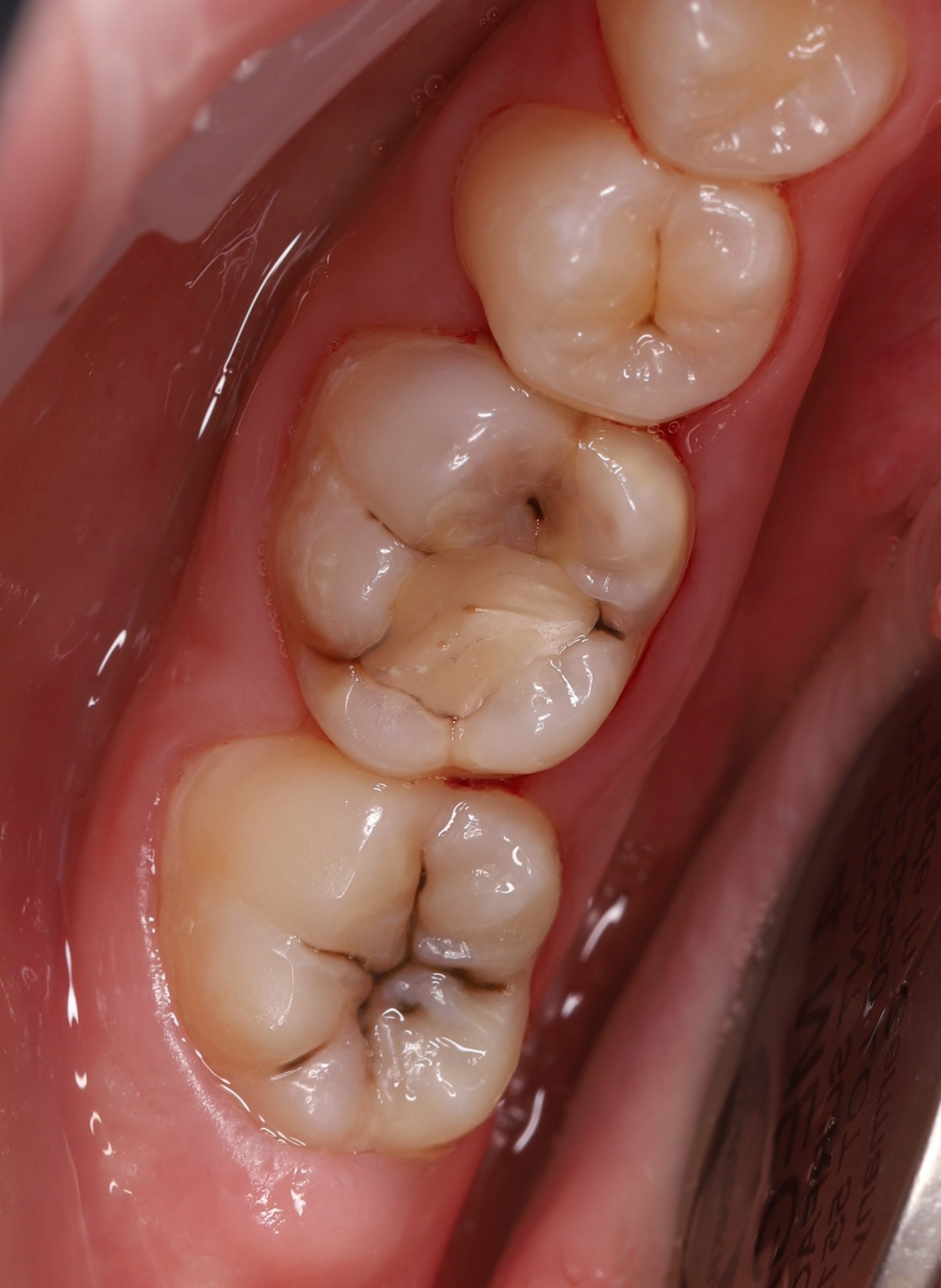
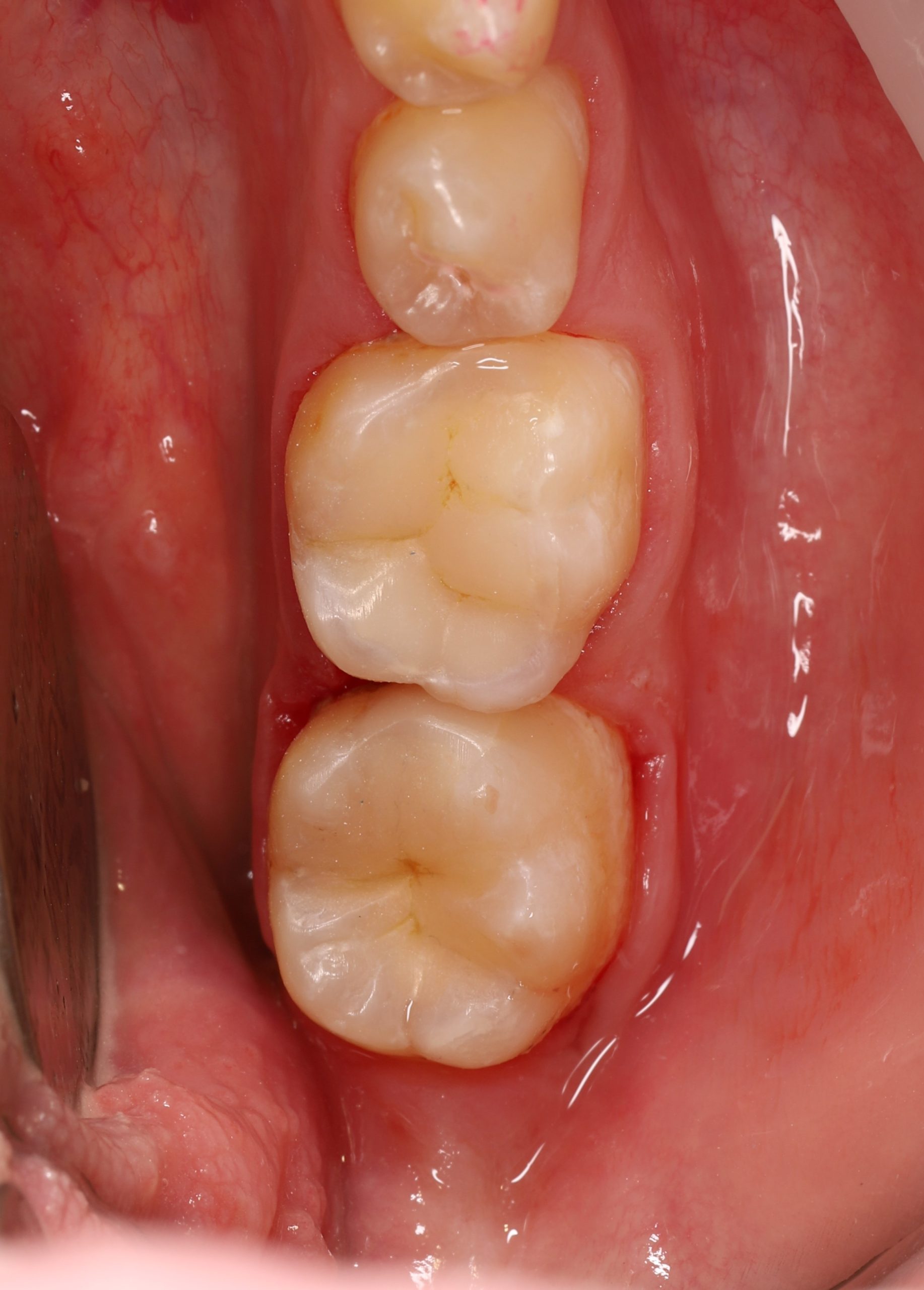
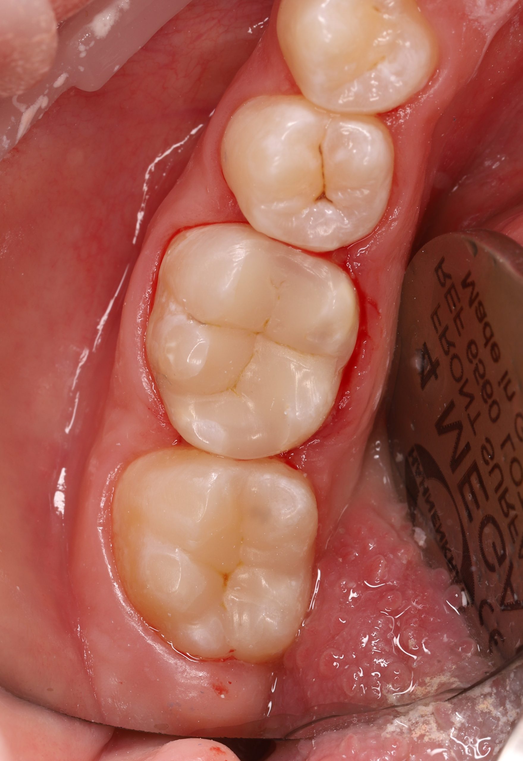
Кариес — частая причина обращения к стоматологу. Без своевременного лечения кариеса он может разрушить зуб и вызвать осложнения. В нашей клинике мы останавливаем процесс на любой стадии, сохраняя здоровье полости рта.
Терапия кариеса начинается с диагностики. Мы используем современные методы, чтобы точно определить степень поражения. На ранних этапах достаточно удалить поврежденные ткани и установить пломбу, подобранную под цвет зуба. При более глубоких дефектах проводится тщательная обработка и восстановление. Наши специалисты применяют безопасную анестезию и качественные материалы, обеспечивая комфорт и долговечность результата. Лечение зубов от кариеса в нашей клинике — это индивидуальный подход и внимание к деталям, чтобы ваша улыбка оставалась здоровой.
Не откладывайте визит к врачу: раннее вмешательство сэкономит время и деньги. Запишитесь на консультацию и узнайте, как мы можем помочь.
Наши работы


Акции
Наша команда
Познакомьтесь с нашими Экспертами
Стоматолог-терапевт, стоматолог
Стоматолог-имплантолог, стоматолог, стоматолог-хирург
Стоматолог-гигиенист
Стоматолог, стоматолог-ортодонт
Стоматолог, стоматолог-ортодонт
Медсестра

