Главная страница / О клинике / Примеры работ / Коронки
Коронки
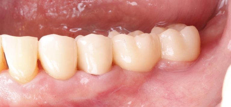
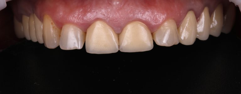
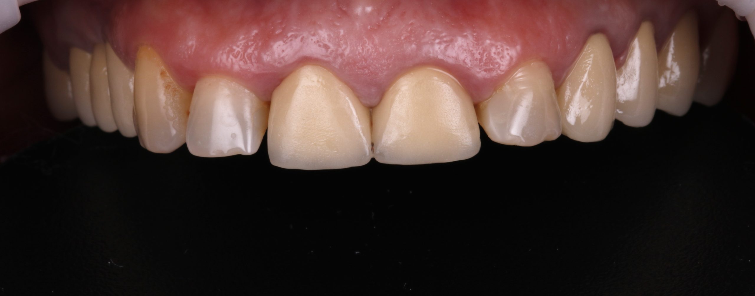
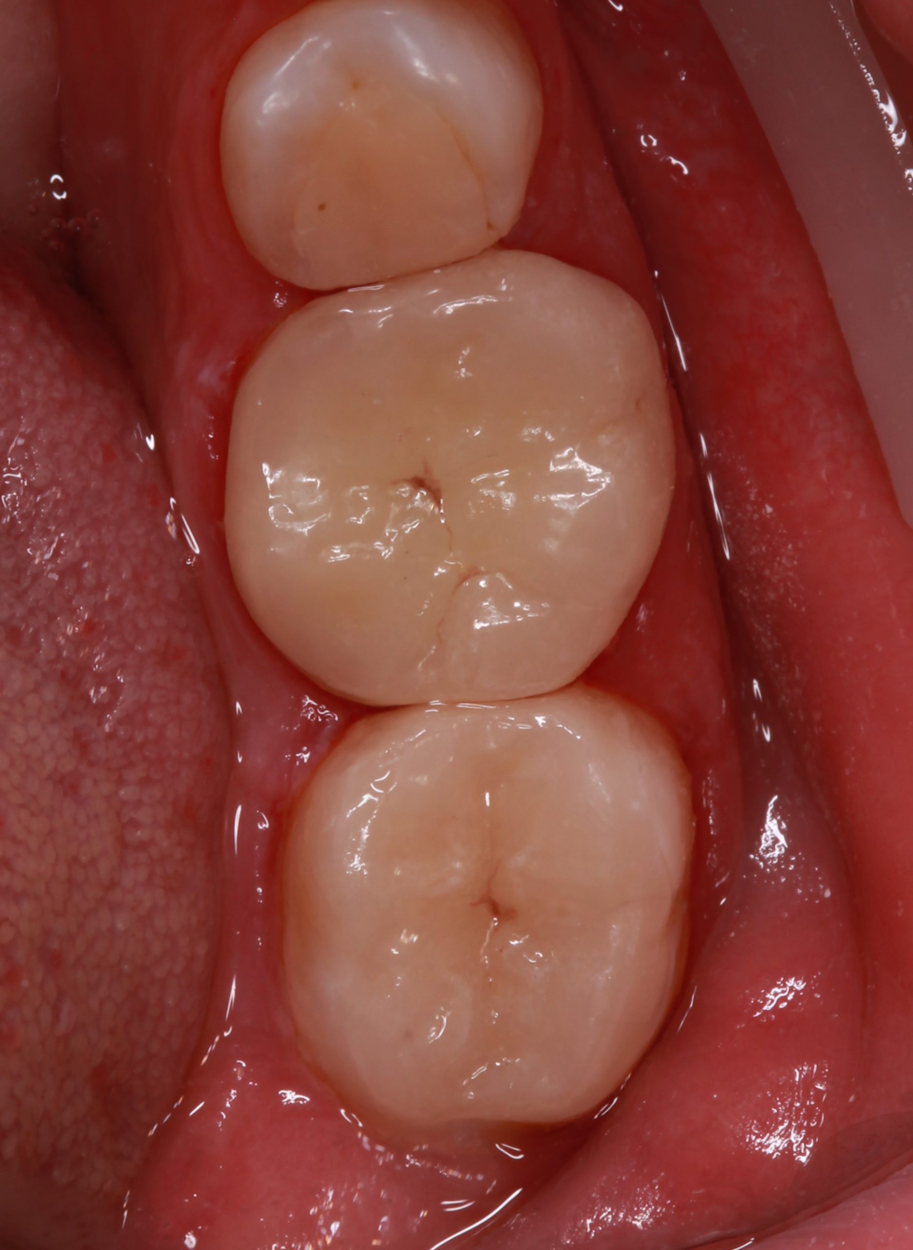
При сильном разрушении зуба коронки становятся идеальным вариантом восстановления формы и функции зуба. Современные материалы позволяют создавать конструкции, которые не отличить от натуральных зубов. Для изготовления коронок используется керамика, цирконий и другие материалы, выбор которых определяется индивидуально. Наши специалисты готовы проконсультировать вас по всем вопросам протезирования и подобрать оптимальный вариант восстановления зубов именно для вашего случая. Грамотно установленная коронка прослужит много лет.
В этом разделе наглядно показан результат наших работ.









