Главная страница / О клинике / Примеры работ / Имплантация
Имплантация
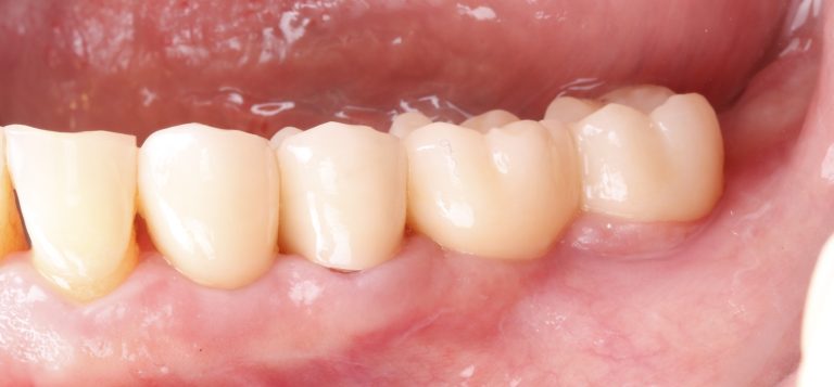
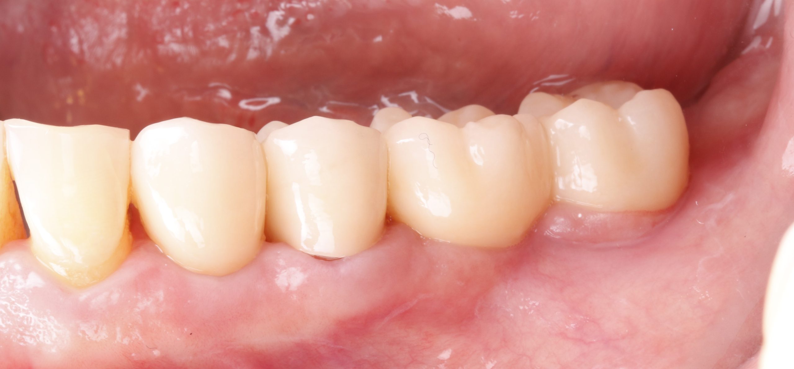
Потеря зуба — не приговор. Благодаря современным технологиям дентальной имплантации возможно полностью восстановить как внешний вид, так и функцию утраченного зуба. Имплант представляет собой прочный титановый «корень» — стабильную основу для будущей коронки или протеза.
В этом разделе вы найдете реальные клинические случаи, где наши специалисты проводили установку имплантов как при единичной, так и при множественной потере зубов. Мы показываем, как возвращается не только улыбка, но и возможность полноценно жевать, говорить и чувствовать себя комфортно.





