Главная страница / О клинике / Примеры работ / Виниры и люминиры
Виниры и люминиры
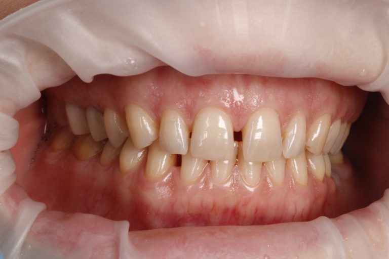
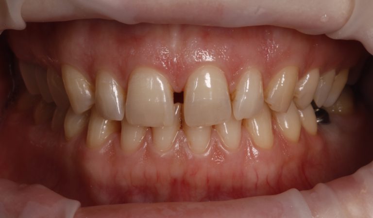
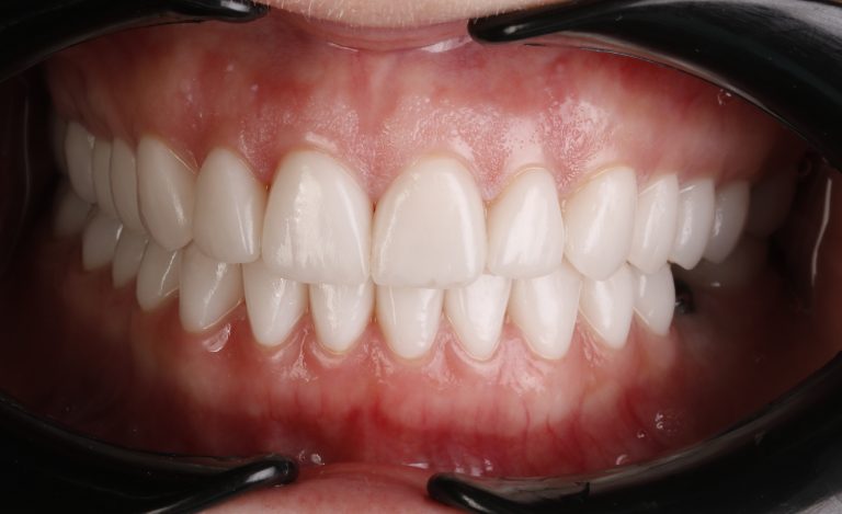
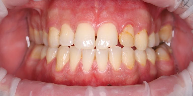
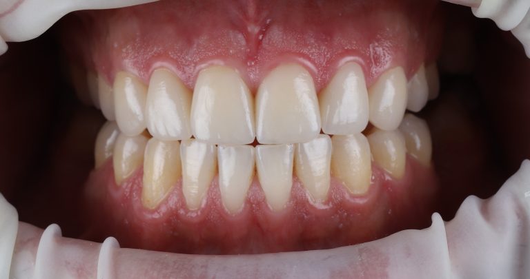
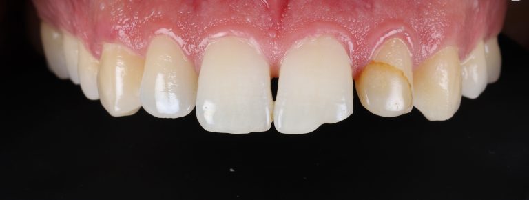
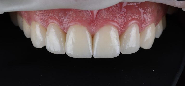
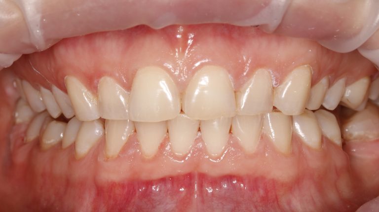
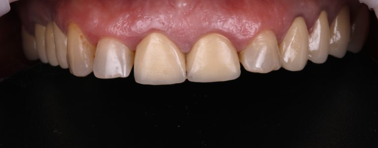
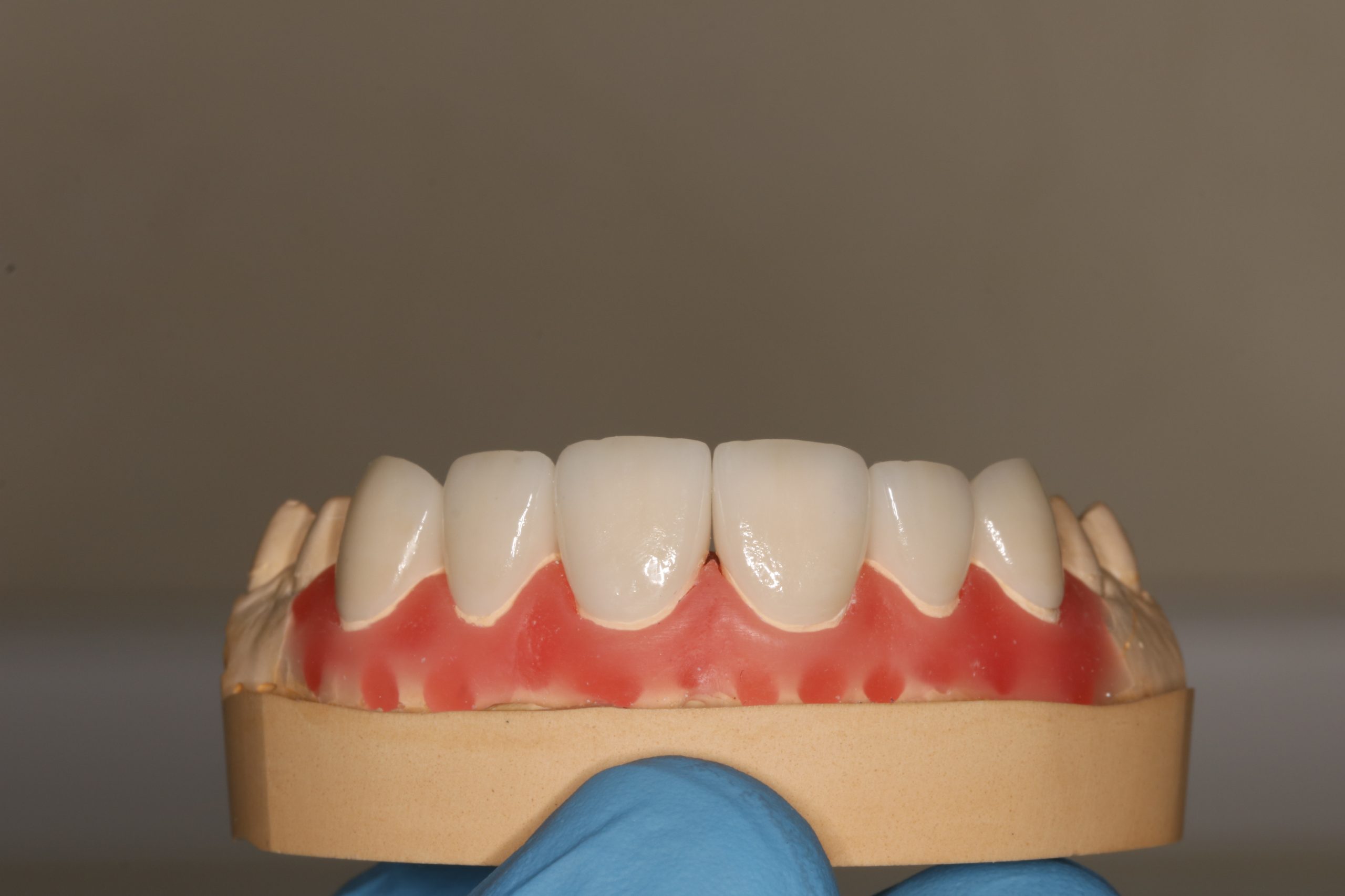
Виниры и люминиры — эти тончайшие накладки, позволяющие кардинально изменить внешний вид зубов без необходимости их полного обтачивания. Благодаря высоким технологиям и точному подбору цвета, формы и размера, результат выглядит максимально естественно.
Здесь мы собрали примеры работ наших специалистов, которые с ювелирной точностью создают улыбки, соответствующие чертам лица и пожеланиям пациента. Вы увидите, как можно скорректировать форму зубов, избавиться от щелей, скрыть потемнения эмали или неровности без длительного лечения. Виниры и люминиры — это не только про эстетику, но и про уверенность в себе каждый день.






















