Записаться

Тотальная реабилитация

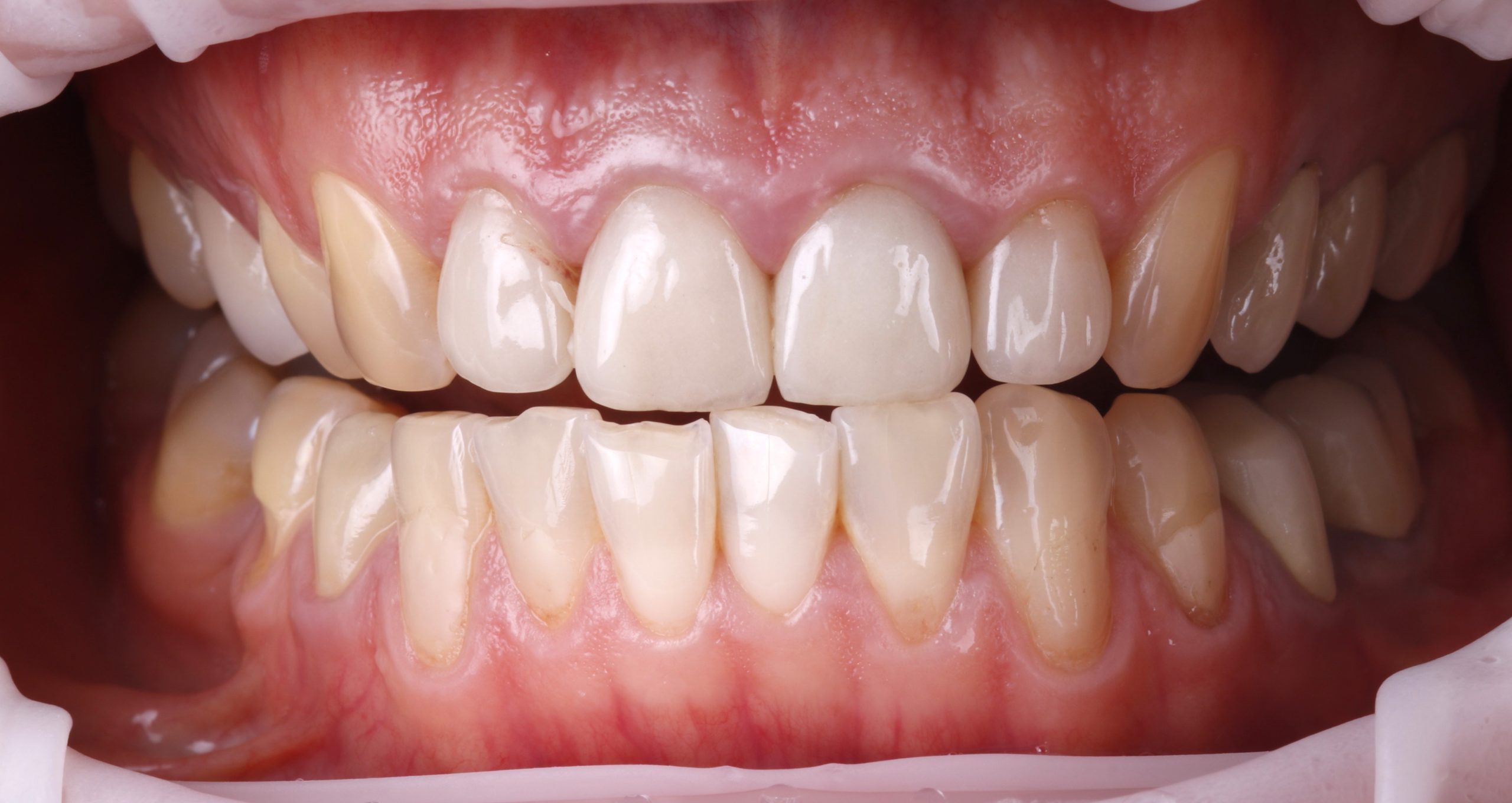
Комплексная или тотальная реабилитация полости рта — это восстановление утраченного качества жизни. Чаще всего она необходима при множественной или полной потере зубов, запущенных воспалительных процессах, травмах или врожденных патологиях. Особое внимание уделяется индивидуальному планированию лечения с учетом анатомических особенностей пациента и состояния костной ткани.

В этом разделе собраны примеры трансформаций. Это долгий путь, но результат — здоровая, функциональная и красивая улыбка, способная изменить не только внешний вид, но и самоощущение пациента.

8-1 До8-1 После
icon-52.png

Адрес

г. Химки микрорайон
Планерная д.23