Записаться

Лечение зубов

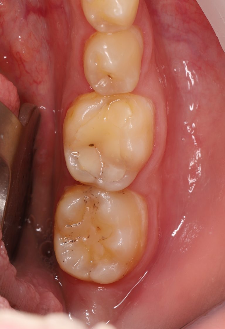
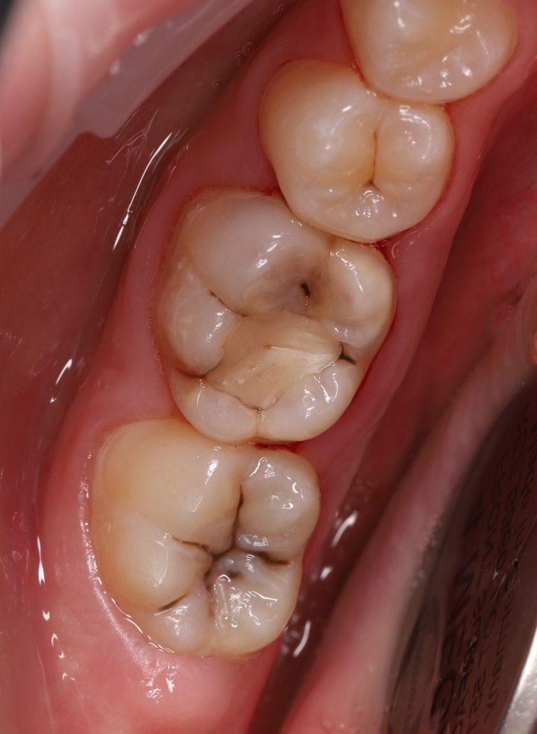
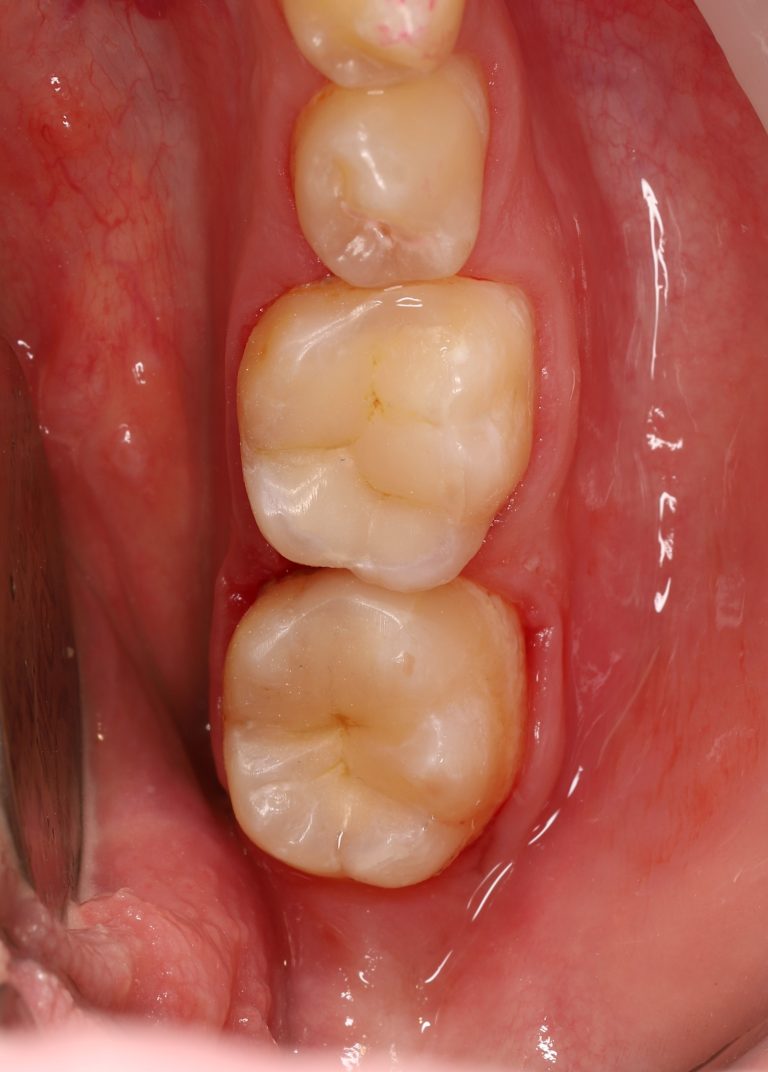
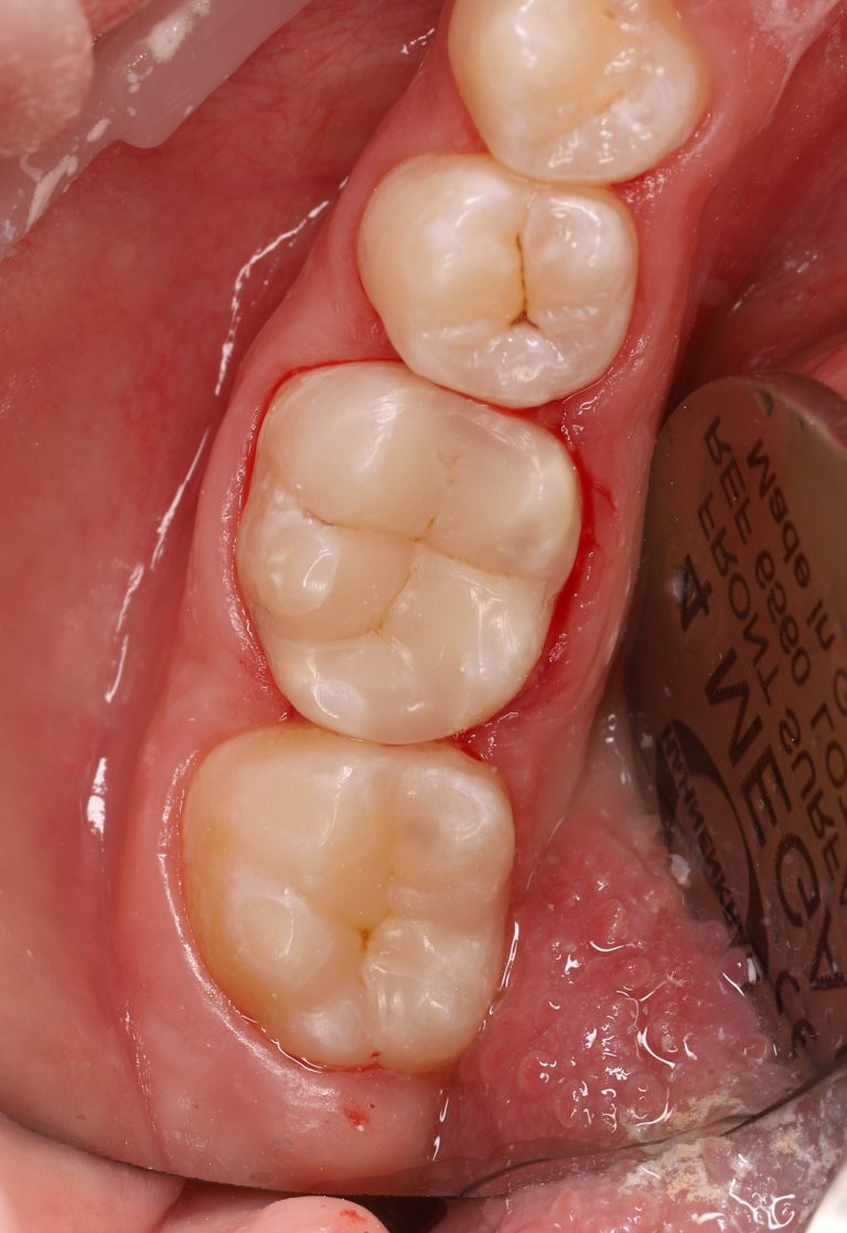
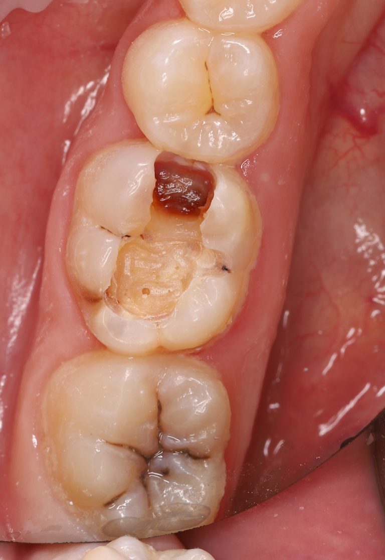
Даже самый красивый зубной ряд нуждается в заботе и своевременном лечении. Кариес, пульпит, трещины эмали и другие заболевания могут быстро привести к осложнениям, если вовремя не начать терапию.

Наши специалисты используют современные материалы и технологии, позволяющие лечить зубы быстро, комфортно и с максимальной точностью. В представленных примерах вы увидите, как даже сильно разрушенные зубы удается восстановить, сохранив их функциональность и эстетику. Мы делаем все, чтобы лечение проходило без боли и стресса — и результат радовал долгие годы.

icon-52.png

Адрес

г. Химки микрорайон
Планерная д.23